ホワイトニング
ホワイトニングとは

専用のホワイトニングジェルを使用して、歯を削らずに白く美しくするのがホワイトニングです。あさひ歯科クリニックでは、歯科医院で短時間で行う「オフィスホワイトニング」と、ご自宅で空いた時間にじっくり漂白する「ホームホワイトニング」を取り扱っています。
オフィスホワイトニング

歯科医院で高濃度のホワイトニングジェルを歯に塗布し、特殊な光を当てて、短時間で歯を白くします。1回の治療でも十分にその効果を実感できますが、ホームホワイトニングに比べて色戻りが早い特徴があります。
| 治療期間 | 1~2ヶ月 |
|---|---|
| 治療回数 | 3回 |
Merit
メリット
- 資格を持つ歯科医師・歯科衛生士が施術を担当するので、ムラが少ない仕上がりになる。
- 1回の施術でも、ホワイトニング効果を得やすい。
- 必要に応じて歯のクリーニングと同時に対応できる。
- 処置時に何か異常を覚えた時も適切な処置ができる。
Demerit
デメリット
- ホームホワイトニングに比べ、患者様によっては料金を割高に感じる場合がある
- 歯の白さを保つには、繰り返しの来院が必要になる。
- 薬剤を使用する際、痛みを感じたり、沁みたりする場合がある。
ホームホワイトニング

ホームホワイトニングはご自宅で行えるホワイトニングです。まず歯科医院でお口の型を採り、専用のマウストレーを作製します。
マウストレーとホワイトニングジェルをお渡しし、ご自宅でホワイトニングペーストを注入したマウストレーを1日2~8時間装着し、少しずつ歯を白くしていきます。忙しい方でも寝ている時間を利用でき、色戻りも少ないのが特徴です。
| 治療期間 | 2~3ヶ月 |
|---|---|
| 治療回数 | 10回 |
Merit
メリット
- ご自宅でできるのでライフスタイルに合わせやすい。
- ホワイトニングの効果が持続しやすい。
- オフィスホワイトニングに比べ治療費が安い。
- 色戻りがしにくい。
Demerit
デメリット
- オフィスホワイトニングに比べ、薬剤の濃度を抑えているため、効果が見られるまで時間がかかる。
- オフィスホワイトニングに比べ、一回の使用時間が長くなる。
- ホワイトニング期間中、歯に色移りしやすい飲食物に気を付けなくてはいけない。
ビヨンド・ポーラスの
オフィスホワイトニング

新しい機器の「ビヨンド・ポーラス(Beyond Polus)」を導入し、オフィスホワイトニングをおこなっています。
このビヨンド・ポーラスは、従来の機器と比べると、出力調整により疼痛の軽減が可能となり、快適に受けていただけます。
ホワイトニングは「過酸化水素」という薬剤を使用して、歯の内面の着色物質を分解し白くします。ビヨンド・ポーラスは過酸化水素に「特殊光」を利用することにより、短時間で高いホワイトニング効果を発揮します。
また当院では、このビヨンド・ポーラスにホームホワイトニングを合せる「デュアルホワイトニング」もご用意しております。
ホワイトニングの流れ
ホワイトニングに関して説明・カウンセリング
ホワイトニングに対しての説明およびカウンセリングを行います。
お口の状態確認
治療と同じようにお口の状態を確認します。また、術前の状態を写真に残しておきます。
歯の色を測定
今の歯の色を測定し、明るくなった歯の色のイメージをご覧頂きます。
口腔内のクリーニング
着色や汚れの付着の状態を確認し、必要に応じて初めにお口のクリーニングを行います。PMTCという歯のクリーニングやスケーリングという歯石の除去が必要になる場合もあります。
お口を固定しホワイトニングジェルを塗布
お口を開けたままで固定する開口器を付け、歯茎および唇を保護してから、歯の表面にホワイトニングジェルを塗布します。
光を照射
目を保護する特別なサングラスを付け、光照射を行います。照射時間はコースによって違います。
フッ素の塗布
うがいの後、歯のコンディションを整え、フッ素を塗布します。
アフターメンテナンスの説明
最後に、アフターメンテナンスの説明を受けたら終了です。およそ1時間で、約2段階~8段階、歯の白さがアップします。
ホワイトニングでよくあるご質問
歯が白くなるまでどのくらいかかりますか?
ホワイトニングの方法によって効果が出るまでの期間は異なります。1回の施術で効果がみられるものや、効果が出るまでに2週間ほどかかるものもあります。
ホワイトニングは痛くないですか?
ホワイトニングでは、歯を削ったり、麻酔のために注射をしたりする必要がありません。まれに知覚過敏が出ることがありますが、すぐにおさまりますのでご安心ください。
ホワイトニングをした後に注意することはありますか?
ホワイトニングをした後の歯は、着色しやすくなります。コーヒー、コーラ、カレーなど着色しやすい飲み物や食べ物の摂取はなるべく控えてください。
副作用はありませんか?
薬剤の主成分である過酸化水素水は、口の中の消毒にも昔から使われているものですので、副作用の心配はありません。ご安心ください。
ホワイトニングをするとなぜ歯が白くなるのですか?
ホワイトニング剤の中の過酸化水素水から発生した酸素(ラジカル)が、歯の中の色素を無色の物質に分解します。その結果、歯の色が白くなるのです。
ホワイトニングができない場合はありますか?
妊娠中や授乳中の方、知覚過敏症がひどい方などにはホワイトニングが適用できない場合があります。
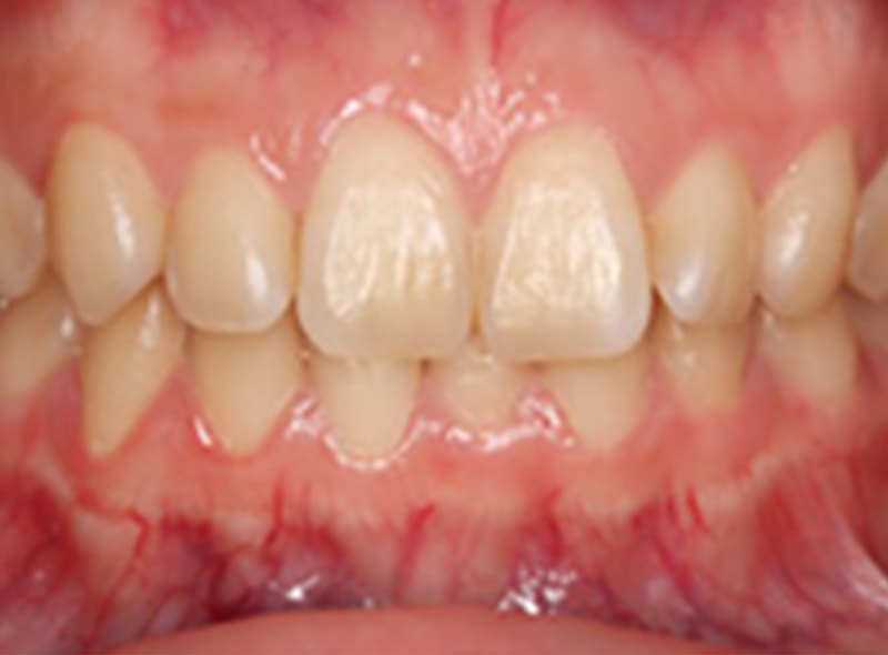
ホワイトニング症例

Before

After
| 治療内容 | オフィスホワイトニング |
|---|---|
| 治療期間 | 2ヶ月 |
| 治療回数 | 2回 |
| 費用 | 39,600円 |
| 診療前の注意点 | ホワイトニングを行った後は、効果を維持する為にも定期的なメインテナンスが必要となります。 ホワイトニングで使用する薬剤の影響があるため、妊娠中や授乳中の方は避けて頂いた方が良いでしょう。 ホワイトニング剤の影響で知覚過敏がおこる場合があります。 |
ホワイトニング料金
| オフィスホワイトニング (ビヨンドポーラス) |
10分2回 | 13,200円 |
|---|---|---|
| ホームホワイトニング (オパールエッセンス) |
初回 上下マウスピース・ホワイトニングジェル8本 | 33,000円 |
| 追加ジェル | 1本1,320円 |
※オフィスホワイトニング利用者に限りホームホワイトニング27,500円でご利用頂けます
※1回目と2回目の間は1週間空けてください。
ホワイトニングのリスク・副作用
- ホワイトニングは健康保険が効きませんので自費診療となります。
- ホワイトニング剤の影響で知覚過敏がおこる場合があります。
- オフィスホワイトニングでは、個人差はありますが色ムラがでたり、想定通りの白さにならない場合がございます。
- ホワイトニングを行った後は、効果を維持する為にも定期的なメインテナンスが必要となります。
- ホワイトニングで使用する薬剤の影響があるため、妊娠中や授乳中の方は避けて頂いた方が良いでしょう。