0296-78-0821
求人情報
Menu
HOME
TEL
WEB予約
当院について
院長紹介
医師・スタッフ紹介
医院案内
アクセス
料金表
スタッフ求人
更新情報
お知らせ
コラム
診療について
一般歯科
予防歯科
入れ歯治療
インプラント治療
インプラント設備・機器
インプラント治療への想い
小児歯科
歯周病
審美歯科
ホワイトニング
矯正歯科
歯以外の痛み
0296-78-0821
WEB予約
ご予約はこちら
ご予約はお電話か
WEB予約システムよりお願い致します。
0296-78-0821
9:00-12:00 / 13:30-18:00
WEB予約
症例紹介
HOME
症例紹介
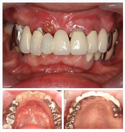
インプラント
カテゴリー:
ALL
インプラント
矯正
選択
インプラント
2025.08.05
症例紹介
2025.08.04
症例テスト